
京公网安备 11010502034682号
丨 京ICP备13002125号-1罗道病(Rosai-Dorfman病,RDD),又称窦组织细胞增生伴巨大淋巴结病(sinus hisliocytosis with massive lymphadenopathy,SHML),是一种病因不明的罕见良性淋巴组织增生性疾病,1966年Azoury和Reed首先报道,1969年Rosai和Dorfman对其做了详细研究,并正式命名。在1987年组织细胞学会的工作组将其分类为非朗格汉斯细胞(LC)组织细胞病。RDD属于组织细胞病的“R组”,包括家族性RDD、散发性RDD以及其他一些非表皮、非朗格汉斯细胞组织细胞病。该病罕见,预计患病率为20万分之1。20%到25%的病例表现为非淋巴结性病变。在 20% 至 25% 的病例中会出现局部淋巴结以外的病变。尽管其症状和体征会因发病部位的不同而变化,但 RDD 最常见的临床表现是无痛性双侧颈部淋巴结肿大,并伴随发热、红细胞沉降率升高、体重减轻、流涕,有时还会出现肝脾肿大等症状。有报道称,不涉及淋巴结的局部病变多见于头颈部。该疾病的典型特征是在窦内出现良性S-100阳性的组织细胞增生现象,显示有炎性细胞吞噬现象。针对RDD 的治疗方法多种多样,从局部应用皮质类固醇到手术切除均有建议。鉴于病情可能复发、病程延长,以及可能出现如主要器官受累(尤其是肾脏,与不良预后相关)或潜在免疫异常等并发症,因此建议长期随访。
本文报告一例男性患者口腔内出现罗道病,且并无淋巴结受累的情况。我们将结合文献综述,对该病例的临床表现、组织病理学特点、病因及治疗方案进行详细讨论。
病例报告
患者,男,42岁,无既往病史和手术史,因近两个月来上颌前牙区牙龈肿胀前来就诊。
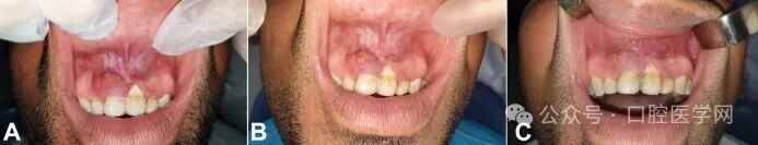
患者否认吸烟、饮酒、用药,并表示局部无疼痛感。口外检查发现上唇肿胀;口内检查可见一直径为3cm的非压痛性、多叶状息肉状病变,覆盖有蓝色粘膜,局部呈紫色,质地坚实,位于上颌前部,延伸至前庭(图1)。

图1
口内检查。可见一呈多叶状、基底附着的结节性病变,病变沿中-远方向长约3cm,被蓝色粘膜覆盖,局部呈紫色。
牙齿检查发现,患者的上颌中切牙出现松动,且左上中切牙的牙髓活力测试结果为阴性。X线片显示,上颌中切牙的牙周膜增宽,没有骨吸收迹象。全景片显示该区域无特异性病变(图2)。

图2
全景片显示上颌骨前上部有一处明显的边界不清的不透明区。
然而,计算机断层扫描(CT)结果显示,上颌前牙区域存在弥散性骨质溶解,范围不规则,不仅影响了松质骨,还波及到口颊侧皮质骨。此外,在某些部位观察到鼻腔底被破坏,并且病变向切牙孔方向扩展。该影像从12牙的近中延伸至21牙的远中,水平测量约为21.7毫米。11和21周围的骨小梁已被破坏,使牙齿看起来像浮动一样。对于软组织,CT 扫描显示上唇肌肉增厚,从右侧尖牙延伸至左侧中切牙的远中。
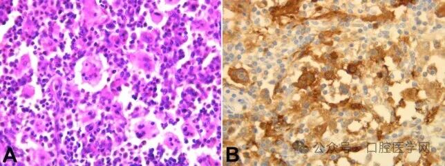
进行了牙龈活检,组织学显示在绒毛膜中有结节形成,伴有大量淋巴细胞、浆细胞、嗜酸性多形核白细胞,特别是富含嗜酸性细胞质的巨噬细胞。这些巨噬细胞常常聚集成簇,显示出嗜神经现象(在组织细胞宽阔的细胞质内泡中,淋巴细胞和一些浆细胞保持完整)。表面鳞状上皮正常。免疫组化检查显示巨噬细胞明显弥漫性S100标记。(图3、图4A、图4B)。

图3
活检组织的显微照片

图4
活检组织切片显微照片
A.显示吞噬现象(苏木精-伊红染色,400倍放大);
B.巨噬细胞呈现强烈的弥漫性S100蛋白染色(400倍放大)。
此外,还进行了其他辅助检查,包括腹部和胸部X光片以及放射性核素扫描,结果未发现任何其他病变。血液全套检测显示白细胞增多。治疗方案包括每15天局部注射一次皮质类固醇,连续2个月,并配合全身使用皮质类固醇药物。临床随访结果显示,病灶及唇部肿胀明显减轻(图5B、5C)。

图5
皮质类固醇局部注射后病变的整体外观
A.第15天,可见病变明显减小,特别是在口颊间隙底部;
B.第30天,牙龈肿块和唇部肿胀进一步减轻;
C.第45天。
然后进行了手术切除,考虑到牙齿的松动,拔除了两颗上颌中切牙(图6A、图6B)。

图6
病变切除术后的整体外观
A.切开翻瓣后可见口颊侧皮质骨缺失;
B.拔除两个中切牙并完整摘除病变组织。
每6个月进行一次随访,已持续2年至今,患者没有复发的迹象(图7A、图7B)。

图7
A.术后口内复查:口颊部肿胀消失,手术部位愈合良好;
B.行可摘局部义齿修复。
讨论
据我们了解,在文献中已发现17例仅发生在口腔并无其他部位或淋巴结受累的罗道病案例,而本病例则是第18例。女性患者多于男性。患者年龄在18至65岁之间。上颌比下颌更易受影响,就像我们的病例一样。最常见的主诉为疼痛和肿胀,但也有部分患者无症状,就诊原因仅为牙齿松动。本例患者的主诉是上唇肿胀。与文献报道不同的是,所有孤立性口腔RDD患者并未表现出发热、不适、体重减轻或鼻塞等全身症状。关于口腔罗道病的临床表现,在文献中的描述并不充分,只有Alencar等人发表的文章中描述了这种病变表现为正常色泽、界限清晰、触诊柔软且基底部固定的结节状病变,并伴有边缘不规则的红色斑块,这一特征与我们患者的临床表现极为相似。有些患者口腔内并未出现明显病损,仅表现出牙齿松动或拔牙创口愈合延迟等症状。
关于辅助检查,所有作者均发现患者在血清学、血液学和生化检测中未见异常,而本例患者出现白细胞增多。放射学检查显示,所有患者都表现出界限不清的骨质破坏病变,不伴有膨胀,且病变可侵及邻近结构。当此病变与牙齿相关时,会导致“牙齿浮动”现象或引起牙根吸收。
最常用的治疗方法是手术切除病灶,在所有病例中均未见复发。仅使用皮质类固醇治疗的医生注意到病变有所缩小,但并未实现完全缓解。只有一篇文章中的作者为患者开具了术前用以减小病变大小的皮质类固醇,这与我们的治疗策略相似。
罗道病可影响所有年龄群体,发病平均年龄约为20.6岁。文献综述显示,Petrovic等人研究的600例RDD患者中有81%在20岁前被诊断出来。该疾病更倾向于男性患者,且大多数患者具有非洲裔美国人背景。
超过87%的患者存在颈部淋巴结肿大,但已知RDD也可能发生在其他部位的淋巴结,如纵隔、肺门、腹膜后、腋窝和腹股沟淋巴结。大约一半以上的伴淋巴结受累的RDD患者也显示出全身性疾病,其中75%位于头颈部。全身性疾病的部位包括上呼吸道占73%,眼眶占50%,唾液腺占25%。全身性疾病可能是首发症状,也可能是唯一的临床表现。类似本例患者,口腔单独受累而不伴有其他淋巴结/全身性病变的情况较为罕见。
RDD的确切病因尚不清楚,但认为可能与遗传起源、免疫应答异常或未知感染因子(如人类疱疹病毒6型、Epstein-Barr病毒、B19细小病毒、带状疱疹病毒、巨细胞病毒、布鲁氏菌属和克雷伯氏菌属等)有关。在本病例中,我们未进行病毒感染筛查。
在85%的病例中,RDD患者身体健康,无显著症状。头部和颈部定位的最常见的症状包括发热、乏力、体重减轻、鼻塞、鼻炎、鼻出血、贫血、白细胞增多和中性粒细胞增多、多克隆性高球蛋白血症以及红细胞沉降率升高。本例患者仅表现为白细胞增多和体重减轻。
口腔受RDD影响的临床和放射学征象并不特异。然而,在骨受累的情况下,一些放射学征象值得注意,例如明确或界限不清的透亮区,正如本例所示。也有混合性透亮硬化或致密病变的描述,伴有局部破坏并向邻近软组织扩展。
所有病例的组织病理学特征相似。病变特征为非恶性组织细胞增殖,这些细胞常常吞噬淋巴细胞,被称为淋巴细胞噬作用或吞噬现象,这是RDD的特征。这一现象在淋巴结内和全身性病变中均可观察到,但在全身性病变中不太明显。在淋巴结内,大量组织细胞增殖导致明显的窦扩张和淋巴结肿大。在无窦结构的全身性病变部位,组织细胞形成类似于扩张窦的聚集体。除了上述细胞外,浆细胞和罕见嗜酸性粒细胞的存在也很常见。单个细胞通常呈现大而圆或卵圆形、外观平淡的核、突出的核仁、丰富且颗粒状的嗜酸性染色胞浆,有时胞浆呈泡沫状。在全身性病例中,可观察到不同程度的间质纤维化。特殊染色未能揭示任何细菌、抗酸杆菌或真菌生物体。通过免疫组化,RDD通常表现出典型的深浅不一的着色特点。除了S-100蛋白阳性的组织细胞具有吞噬现象这一关键特征外,组织细胞还强烈表达CD68,而不表达CD1a。
RDD的鉴别诊断范围广泛。涉及的疾病包括已知会引起淋巴结肿大的疾病,如结核病、肉芽肿性多血管炎、结节病、戈谢病和黑色素瘤。在没有淋巴结肿大或其他全身性病变的情况下识别出口腔部位的RDD,会让人怀疑不同的诊断,包括朗格汉斯细胞组织细胞增多症(LCH)、Küttner瘤、恶性组织细胞增多症、霍奇金病和转移性癌。最常见的鉴别诊断是LCH,其几乎与RDD具有相同的免疫组织化学特征,即S-100蛋白和CD68阳性,唯一的例外是LCH中的泡沫状组织细胞表达CD1a,而RDD则不表达;而在超微结构上,LCH具有特征性的棒状Birbeck颗粒。
由于该疾病的罕见性,对其治疗的理解较为困难。对于RDD,有多种治疗方法可供选择。在大多数情况下不需要治疗,病变可能会自发消退,对无症状且未涉及重要器官的患者来说,随访可能就足够了。除活检之外,进行手术治疗的主要原因是威胁生命或功能的阻塞性病变。进一步的治疗选项包括伊马替尼、干扰素、阿维A酸、沙利度胺、异维A酸、氨苯砜、甲氨蝶呤、利妥昔单抗、液氮冷冻、化疗和放疗。关于使用化疗和皮质类固醇治疗RDD的研究报告很少,并且结果各异。尽管如此,尤其当存在骨受累时,手术仍然是治疗RDD最有效和确定性的方法。
结论
尽管在文献中,孤立性口腔罗道病的临床和放射学表现研究较少且较为罕见,但我们还是发现与已发表的研究存在一些相似之处。然而,对于这种疾病的治疗并没有标准化的方案。在本病例中,我们采取了药物治疗与手术治疗相结合的方法,旨在缩小病变范围并彻底清除整个病变。
参考文献
1. Bruce-Brand C, Schneider JW, Schubert P. Rosai-Dorfman disease: an overview. J Clin Pathol. 2020;73(11):697–705. doi: 10.1136/jclinpath-2020-206733.
2. Hamza A, Zhang Z, Al-Khafaji B. Solitary extranodal rosai-dorfman disease of the mandible: an exceedingly rare presentation. Autops Case Rep. 2018;8(3):e2018036. doi: 10.4322/acr.2018.036.
3. Güven G, Ilgan S, Altun C, Gerek M, Gunhan O. Rosai–Dorfman disease of the parotid and submandibular glands: salivary gland scintigraphy and oral findings in two siblings. Dentomaxillofac Radiol. 2007;36(7):428–433. doi: 10.1259/dmfr/39858276.
4. Yaman B, Cerit L, Kemal HS, Usalp S, Duygu H. Unusual involvement of right ventricle in patient with Rosai–Dorfman disease. Anatol J Cardiol. 2019;22(5):271. doi: 10.14744/AnatolJCardiol.2019.04608.
5. Chen TD, Lee LY. Rosai-dorfman disease presenting in the parotid gland with features of IgG4-related sclerosing disease. Arch Otolaryngol Neck Surg. 2011;137(7):705–708. doi: 10.1001/archoto.2011.52.
6. Goodnight JW, Wang MB, Sercarz JA, Fu YS. Extranodal rosai-dorfman disease of the head and neck. Laryngoscope. 1996;106(3):253–256. doi: 10.1097/00005537-199603000-00002.
7. Kasper HU, Hegenbarth V, Buhtz P. Rhinoscleroma associated with Rosai-Dorfman reaction of regional lymph nodes. Pathol Int. 2004;54(2):101–104. doi: 10.1111/j.1440-1827.2004.01597.x.
8. Tekin U, Tüz HH, Günhan Ö. Reconstruction of a patient with rosai-dorfman disease using ramus graft and osseointegrated implants: a case report. J Oral Implantol. 2012;38(1):79–83. doi: 10.1563/AAID-JOI-D-10-00056.1.
9. Ojha J, Rawal YB, Hornick JL, et al. Extra nodal rosai-dorfman disease originating in the nasal and paranasal complex and gnathic bones: a systematic analysis of seven cases and review of literature. Head Neck Pathol. 2020;14(2):442–453. doi: 10.1007/s12105-019-01056-8.
10. Wenig BM, Abbondanzo SL, Childers EL, Kapadia SB, Heffner DR. Extranodal sinus histiocytosis with massive lymphadenopathy (Rosai-Dorfman disease) of the head and neck. Hum Pathol. 1993;24(5):483–492. doi: 10.1016/0046-8177(93)90160-I.
11. Kademani D, Patel SG, Prasad ML, Huvos AG, Shah JP. Intraoral presentation of Rosai-Dorfman disease: a case report and review of the literature. Oral Surg Oral Med Oral Pathol Oral Radiol Endod. 2002;93(6):699–704. doi: 10.1067/moe.2002.123495.
12. Keskin A, Genç F, Günhan OJ. Rosai-Dorfman disease involving maxilla: a case report. J Oral Maxillofac Surg. 2007;65(12):2563–2568. doi: 10.1016/j.joms.2006.10.003.
13. Demicco EG, Rosenberg AE, Björnsson J, Rybak LD, Unni KK, Nielsen GP. Primary rosai-dorfman disease of bone: a clinicopathologic study of 15 cases. Am J Surg Pathol. 2010;34(9):1324–1333. doi: 10.1097/PAS.0b013e3181ea50b2.
14. Keskin A, Genç F, Günhan Ö. Rosai-dorfman disease involving maxilla: a case report. J Oral Maxillofac Surg. 2007;65(12):2563–2568. doi: 10.1016/j.joms.2006.10.003.
15. Koslovsky DA, Alfi DM, Pradhan JS, Philipone EM, Kelsch RD, Bastidas JA. Oral cavity rosai-dorfman disease without lymphadenopathy: a case series from two institutions within the metropolitan new york area. J Oral Maxillofac Surg. 2012;70(9):e75. doi: 10.1016/j.joms.2012.06.112.
16. Alencar FSL, Soares ÁC, Stahel-Lage LF, Menezes Pontes JR. Oral signs in a patient with undiagnosed rosai-dorfman disease: a case report. Oral Surg Oral Med Oral Pathol Oral Radiol. 2020;129(1):e93. doi: 10.1016/j.oooo.2019.06.388.
17. Alawi F, Robinson B, Carrasco L. Rosai-Dorfman disease of the mandible. Oral Surg Oral Med Oral Pathol Oral Radiol Endodontology. 2006;102(4):506–512. doi: 10.1016/j.tripleo.2005.10.071.
18. Ojha J, McIlwain R, Said-Al Naief N. A large radiolucent lesion of the posterior maxilla. Oral Surg Oral Med Oral Pathol Oral Radiol Endodontology. 2010;110(4):423–429. doi: 10.1016/j.tripleo.2010.05.071.
19. Dickson-González SM, Rodríguez-Morales AJ, Jiménez L, et al. Maxillofacial Rosai–Dorfman disease in a newly diagnosed HIV-infected patient. Int J Infect Dis. 2008;12(2):219–221. doi: 10.1016/j.ijid.2007.05.006.
20. Miniello TG, Araujo JP, Sugaya NN, Elias FM, Almeida OPD, Alves FA. Rosai-Dorfman disease affecting the maxilla. Autops Case Rep. 2016;6(4):49–55. doi: 10.4322/acr.2016.057.
21. Kaltman JM, Best SP, McClure SA. Sinus histiocytosis with massive lymphadenopathy Rosai-Dorfman disease: a unique case presentation. Oral Surg Oral Med Oral Pathol Oral Radiol Endod. 2011;112(6):e124–6. doi: 10.1016/j.tripleo.2011.06.018.
22. Petrovic D, Mihailovic D, Petrovic S, et al. Asymptomatic flow of Rosai-Dorfman disease. Vojnosanit Pregl. 2014;71(8):780–783. doi: 10.2298/VSP1408780P.
23. American Society for Dermatologic Surgery Successful treatment of cutaneous rosai–dorfman disease with pulsed dye laser. Dermatol Surg. 2019;00:1–3.
作者:Abir Charfeddine, Mounir Omami, Marwa Garma, Ahlem Bellalah, Sameh Sioud, Jamil Selmi
翻译:口腔医学网(微信号:aikouqiang)
声明:本文翻译自国外病例展示,仅供口腔专业人士进行技术交流,仅代表医生个人观点,不构成任何医疗建议,如有翻译错误之处敬请指正,内容以原文为准。
原文:https://www.ncbi.nlm.nih.gov/pmc/articles/PMC10750829/